ボロボロの歯の改善

キービジュアル

歯がボロボロでも
安心してご相談ください

  • 歯医者に「苦手意識」がある
  • 歯が「ボロボロ」で見られたくない
  • 治療中の「痛み」が我慢できない
  • 不必要な治療」をされないか心配
患者さん一人ひとりに寄り添い
安心できる治療体制を整えています
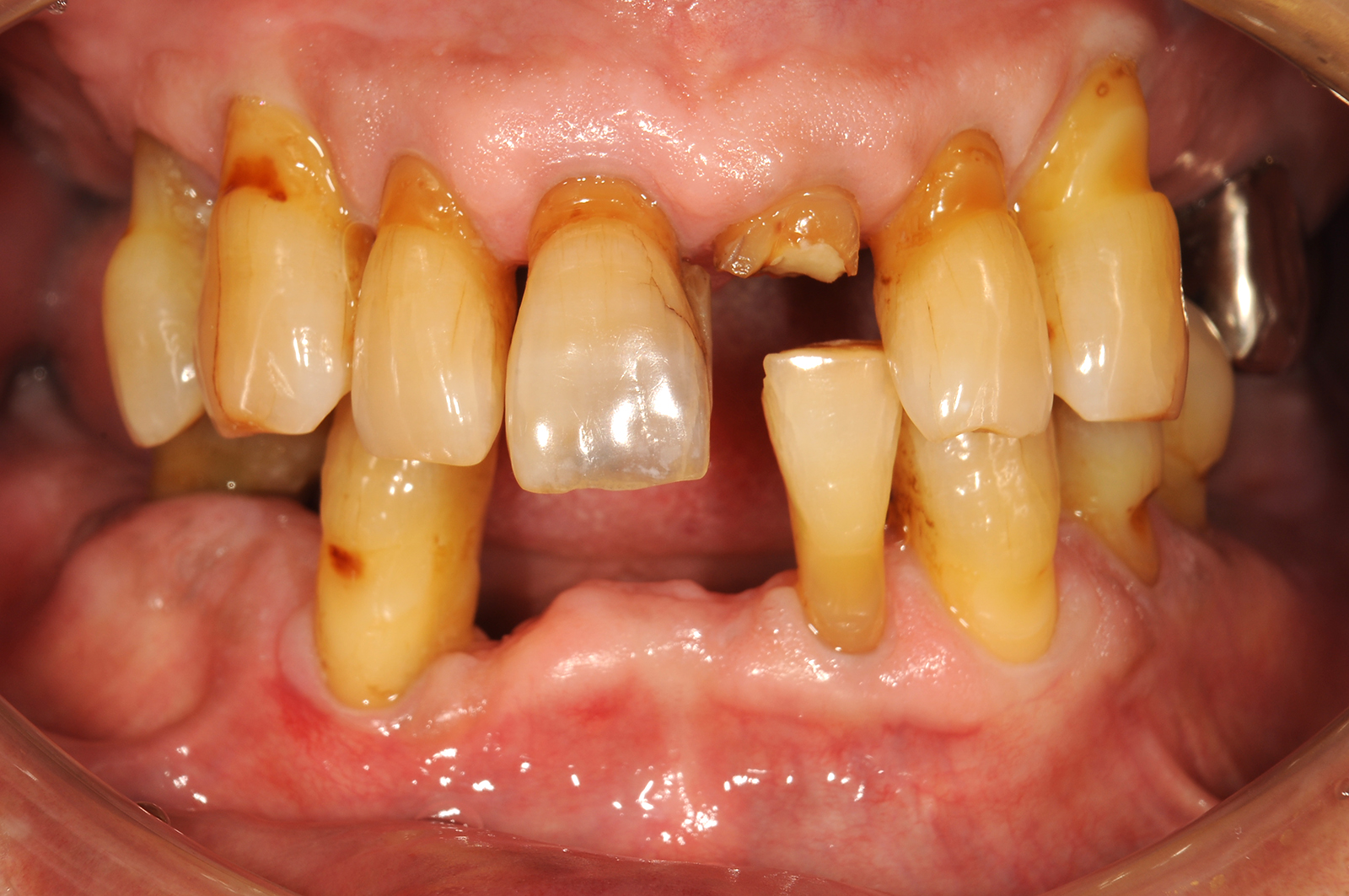
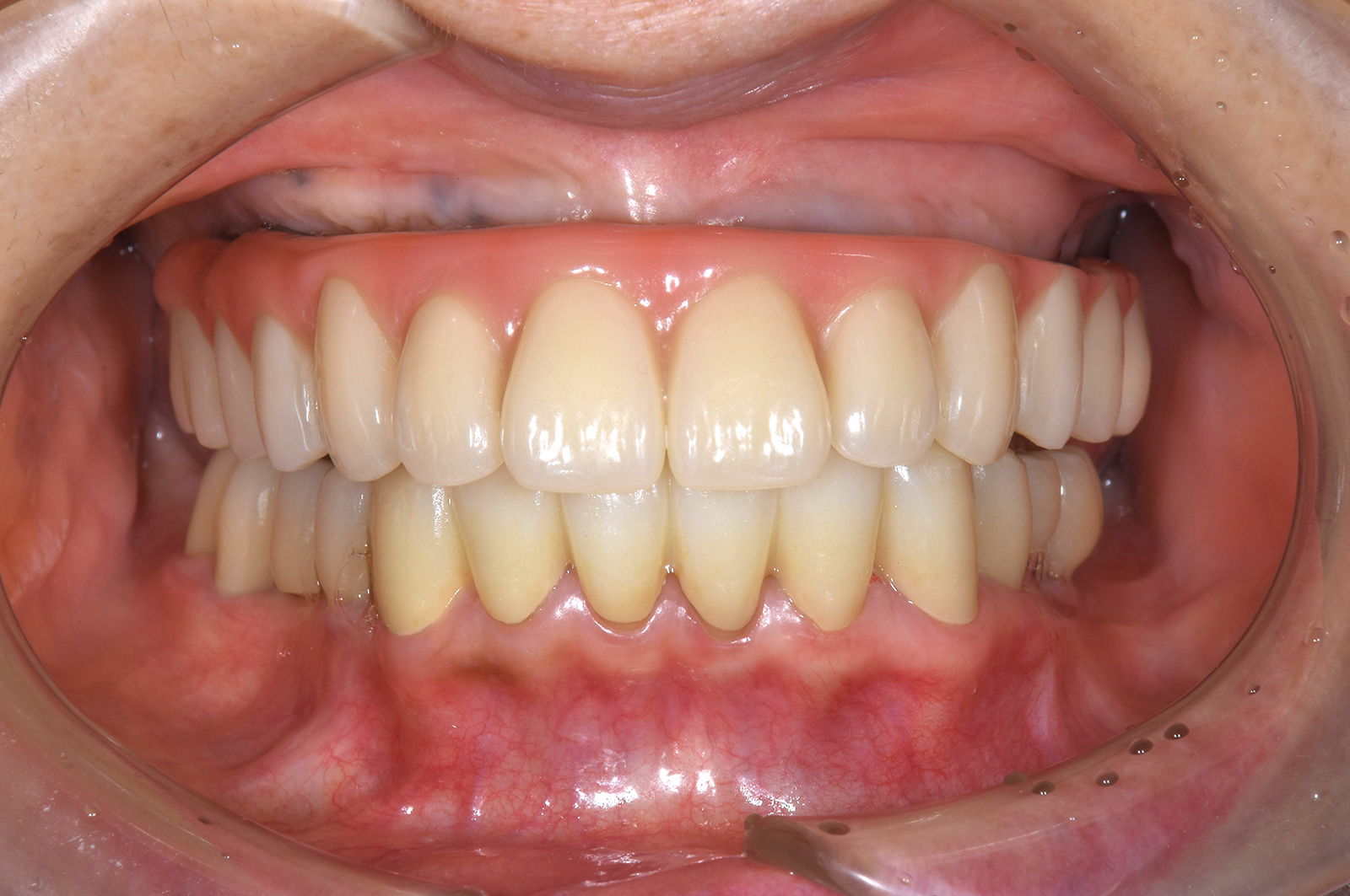
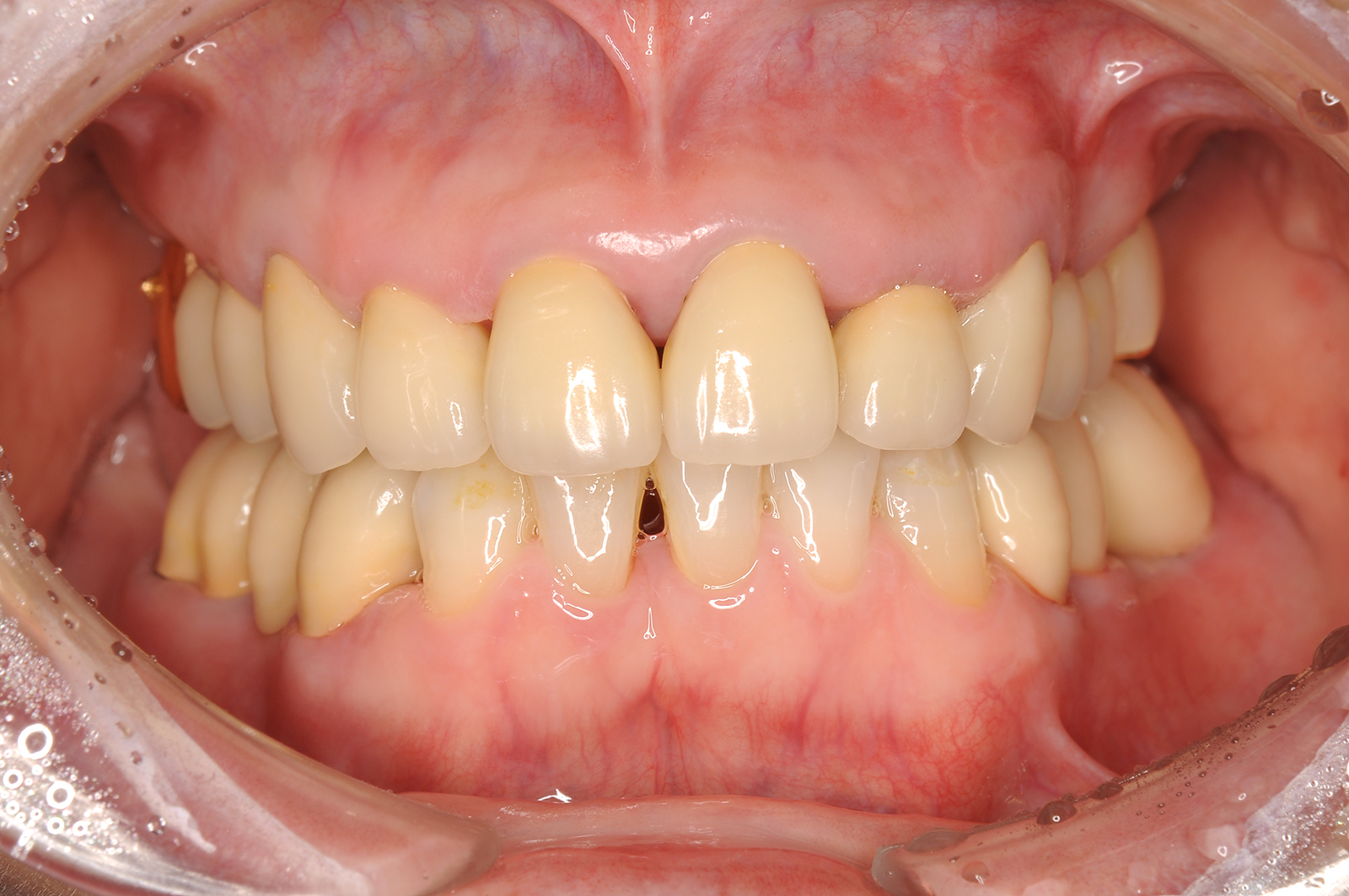
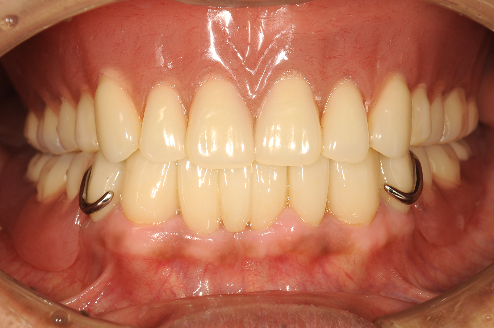
  • 治療前
  • 治療後
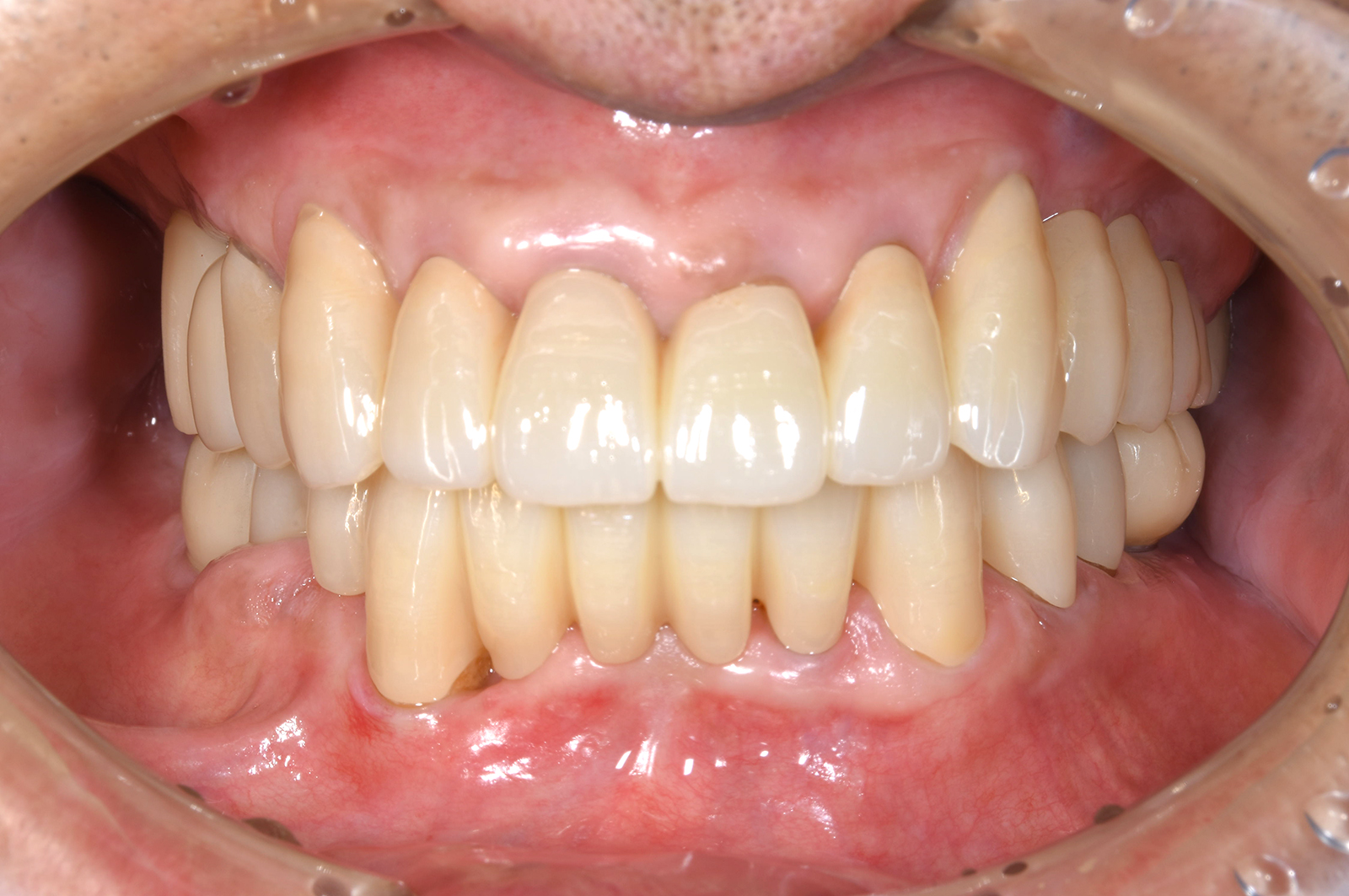
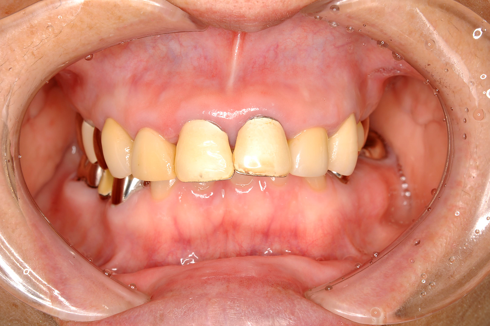
  • 治療前
  • 治療後
  • 治療前
  • 治療後
  • 治療前
  • 治療後

歯医者が苦手な方の原因を全て解消します!

歯がボロボロになってしまいお困りの方は、どうか諦めずに当院へご相談ください。

過去に歯科医院で以下のような経験をし、それがトラウマとなってしまったことで、なかなか治療に踏み出せず悩んでいませんか?
  • 虫歯の治療が痛かった
  • 先生が話を聞いてくれなかった
  • 知らない間に不要な治療をされていた
これらの問題は、歯科医院の対応次第で改善できるものです。
患者さんがこのような不安や不満を抱えないよう、さまざまな取り組みを行っています。

痛みを抑えるための工夫

虫歯治療の不快感や、痛みを伴う麻酔注射は、できるだけ避けたいものです。患者さんの状態に合わせて、治療時の痛みを軽減するためのさまざまな工夫を行っています。

痛みに対する配慮①表面麻酔

麻酔の注射に痛みを感じる患者さんは、意外と多くいらっしゃいます。その負担を軽減するために「表面麻酔」を使用しています。事前に麻酔を行う部位へ塗布し感覚を鈍らせることで、注射時の痛みを和らげることができます。

痛みに対する配慮②痛くない部位に注射

お口の中には、痛みを感じやすい部位と感じにくい部位があります。
経験技術を生かし、できるだけ痛みを感じにくい箇所を選んで注射を行います。また麻酔は3回に分けてゆっくり注入し、十分に効いてから治療を開始します。

痛みに対する配慮③電動麻酔注射

麻酔液を一気に注入すると、組織が急に膨らみ痛みの原因となります。そこで当院では、注入速度を一定に保てる「電動麻酔注射」を使用し、麻酔時の痛みを軽減しています。

「同意」のない治療はいたしません

患者さんの「同意」を得ないまま治療を進めることは決してありません。

これは医療機関として当然果の責務だと考えています。
十分な説明を行うこと」「不必要な治療を行わないこと」この2つは、医療機関における基本的な原則です。

医療行為は、患者さんの身体に医療者が直接介入するため、治療を選択する最終的な決定権は患者さんにあります。
そのため、医療の専門知識を持たない患者さんにも十分にご理解いただけるよう、私たちが丁寧に説明することが重要です。また専門的な立場から見ると、場合によっては不要な治療が行われているケースもありますが、そのような事態は決してあってはなりません。

当院では治療計画を立案し、その理由を丁寧に説明しながら、患者さんと一緒に治療を進めています。

プライバシーに配慮した治療を心がけています

お口の状態によっては、周囲に話を聞かれたくないと感じる方もいらっしゃるでしょう。
当院では「個室診療室」「カウンセリングルーム」「オペ室」を備えており、そちらでご相談や治療を受けていただけます。プライバシーに十分配慮し、安心して通院いただける環境を整えています。

歯科医師からのメッセージ

現在の状態がひどく「もう手遅れかもしれない」と感じていても、歯科治療によってきれいに改善できます。

また、歯の問題を放置することは危険です。頭痛や腰痛、肩こりなどの不調につながることもあり、お口の中だけにとどまらず全身へ影響を及ぼす場合があります。歯がボロボロになっている場合、歯周病が進行している可能性もあります。歯周病は、次のようなさまざまな全身疾患とも関連しています。
  • 糖尿病
  • 早産/低体重児出産
  • 肥満
  • 心筋梗塞
  • 脳梗塞
このようにボロボロの歯を放置することは非常に危険です。

また歯の問題は、心の健康にも大きく影響します。歯が気になって気持ちが沈んだり、人と会うことを避けてしまったりしていませんか。

当院で治療を受け、歯の悩みから解放されませんか。
ぜひ一度お気軽にご来院ください。

初診「個別」相談へのご案内

当院では、患者さんが抱えていらっしゃるお口のお悩みや疑問・不安などにお応えする機会を設けております。どんなことでも構いませんので、私たちにお話ししていただけたらと思います。
ご興味がある方は下記からお問い合わせください。

ご予約・お問い合わせ047-316-2588

〒272-0034
千葉県市川市市川1-10-14

市川駅より徒歩3分

PAGE TOP