子どもの矯正治療
子どもの矯正治療

悪くなる歯並びを整える
「予防矯正」にも対応
矯正には、次のような「副次的効果」もあります。
歯並びが悪くなる原因について考えたことがあるでしょうか。原因は単一ではありませんが、現代人にとってよく見られる原因の1つが「歯の大きさ」です。
実は、昔と比べて現代人の歯は大きくなっていますが、逆に顎の大きさは小さくなっています。
この要因は私たちの食生活にあります。食事の質が向上し、歯が大きく成長する一方で、柔らかい食品が増えて咀嚼回数が減少しています。その結果、顎の成長が妨げられています。
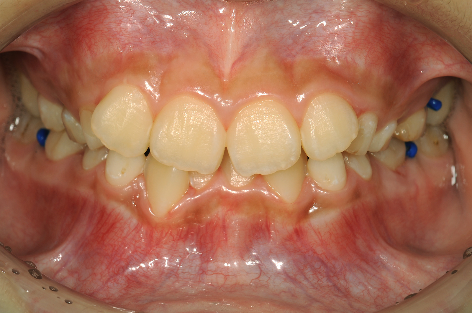
顎の小ささと大きな歯の組み合わせは、歯が適切に配置されるスペースが不足することを意味します。その結果、歯が重なり合い、不規則に生えてしまうことがあります。
ご説明した通り、歯並びが悪くなる原因の1つは小さな顎で歯が生えるスペースが不足していることです。
子どもの成長過程でこの顎の問題を矯正し、歯が適切に並ぶスペースを確保することで、歯並びの根本的な原因に対処することが可能です。
具体的には、以下となります。
このような癖を改善することで、歯並びが悪くなるリスクを軽減することができます。
悪い癖の改善と同時に当院では、以下の装置を使用したトレーニングを通じて歯並びを整えています。ここでは、それぞれご紹介していきます。
「床矯正」とは、歯の床となる顎を拡大させる治療法です。この治療では、取り外し可能な装置を使用し、数週間ごとに装置を少しずつ大きくして顎を広げていきます。
これにより歯が生えそろった後でも適切なスペースが確保され、歯並びの悪化を防ぐことができます。
また、本格的な矯正治療が必要な場合でも、通常の抜歯が必要なケースを回避できることがあります。
マウスピース型の「機能的顎矯正装置」を使って、口周りの筋肉を鍛えることで歯並びを改善します。主に3~10歳の子どもを対象にしています。
口周りの筋肉や舌、頬、唇からの力のバランスが崩れると、歯並びが悪化することがあります。この治療は、これらの筋肉のバランスを正常に戻し、良い癖を身につけることを目的としています。
その結果、歯が本来あるべき位置に導かれることが期待されます。
「口腔筋機能療法」とは、口周りの筋肉を均衡良くトレーニングする治療法です。多くの親は口周りの筋肉の重要性を認識していないかもしれませんが、実際には子どもの歯並びにとってこれが非常に重要です。
筋肉のバランスが崩れると、出っ歯や受け口、開咬の原因となることがあります。たとえば、舌が前歯を押し続けると、歯が前に出てしまい、出っ歯につながることがあります。
口腔筋機能療法では、舌や唇、頬などの筋肉を調整し、鍛えることで、バランスのとれた口腔環境を促進します。このようにすることで、歯並びの悪化を予防することができます。
また、口呼吸や歯周病、ドライマウスなどの改善にも寄与します。
当院では、矯正治療に特化したレントゲン技術である「セファロ」を導入しています。この装置は、歯や顎だけでなく、頭部の正面と横からの撮影が可能です。
これにより、歯をどのように移動させるかを具体的に計測し、治療の精度を向上させることができます。
子どものうちに矯正治療を行うことには、実はたくさんのメリットがあります。
大人の場合、顎の成長は終わっており、歯並びも完成しています。そのため、歯を動かすためにはスペースを作るための抜歯や、時間がかかる治療が必要な場合があります。時には外科手術が必要となることもあります。
一方、子どもの場合は顎の骨が柔らかく、柔軟に広げることができ、歯も比較的容易に動かすことができます。
永久歯が生え揃う前に治療を開始し、適切なスペースを確保することで、歯並びがより良く整います。
さらに、子どものうちに矯正治療を行うことには以下のようなメリットがあります。
歯並びの悪さは思春期の子どもにとって、心の負担となることがあります。
歯並びを気にして笑うことが減ったり、引っ込み思案になったりする子どももいます。そうした状態になる前に、歯並びを整えることでその心の負担を軽減することができます。
また、出っ歯や受け口、歯並びの乱れを改善することで、顔立ちがすっきりと見える効果も期待できます。
歯並びの乱れによって、歯ブラシでのケアが難しくなることがあります。磨き残しがあると、むし歯や歯肉炎にかかりやすくなります。
矯正治療によって歯並びを整えると、ケアがしやすくなり、むし歯や歯肉炎のリスクも低減できます。また、口臭の改善にもつながります。
矯正治療では一般的に治療期間が2〜3年、通院回数は24〜36回ほどかかります。
TOP