顎関節症・歯ぎしり・食いしばり
顎関節症・歯ぎしり・食いしばり

これらの症状は、歯科治療で改善されることがあります。
ぜひ、当院にご相談ください。
噛み合わせが悪かったり、奥歯を失ったりすると、歯科医院で高価な人工歯や入れ歯、インプラントを装着しても、余分な負担がかかり長持ちしないことも少なくありません。さらに、噛み合わせが原因で全身にさまざまな症状が現れることがあります。これらの症状は筋肉骨格系から神経系まで幅広く影響します。このような症状が「更年期障害」や「うつ病」と診断されることもあります。歯科医院で噛み合わせを治療することで、このような症状を改善できることがあります。
当院では、ヨーロッパの咬合概念を取り入れた最新の咬合診断装置「K-7」を導入しています。この装置を使用することで、歯科医師の勘や経験に頼ることなく、客観的なデータに基づいた科学的な治療が可能になります。また、当院には国際顎頭蓋機能学会(日本)の顎機能改善認定医が在籍しており、治療を担当します。
K-7を用いることで、レントゲンでは確認できない重要な神経や筋肉、顎の運動、関節の動き、そして噛み合わせのズレを診断することが可能です。口腔内にマグネットを取り付け、センサーを装着することで、生理的な下顎の運動を記録・分析できるようになります。この高精度なエクスパンドセンサーは軽量でフィット感が良く、患者様の負担を軽減します。さらに、下顎の位置を視覚的に計測・調整することができ、さまざまな顎の運動を診断することができます。
詳細な問診を行った後、筋電計を用いて噛み合わせや姿勢に関連する筋肉の緊張状態、活動状況、バランスなどを検査します。次に、センサーを使って、顎がどの方向に、どの程度ずれているかを測定します。これにより、単に3次元的なズレだけでなく、各方向の“ゆがみ”(トルク)も調べます。これらの結果に基づいて、最適な治療法を選択します。
「顎のずれ」の量が小さい場合は、直接歯を削ることで咬合調整を行います。一方、「顎のずれ」の量が大きい場合は、被せ物で噛み合わせを再構成するか、取り外し可能な透明なマウスピースを使用して治療します。また、必要に応じて歯列矯正を併用することもあります。
患者様の年齢や歯、歯肉の状態に合わせて、最適な治療法をご提案いたします。
「CTスキャン」により、顎の状態や咬み合わせを「3次元」で詳細に把握できます。従来の2次元レントゲンと比較して、より具体的で詳細な診断が可能になります。
マイオモニターは、筋肉をリラックスさせる低周波を発生させる治療装置です。あごの筋肉に低周波を流して緊張を和らげ、噛み合わせのよい状態に導いていきます。
歯に大きな負担をかける睡眠中の歯ぎしりや食いしばり。知らないうちに歯が欠けたり、折れたりする原因になることもあります。このような歯の負担を軽減するのが「スプリント」です。硬い素材で作られたマウスピースです。
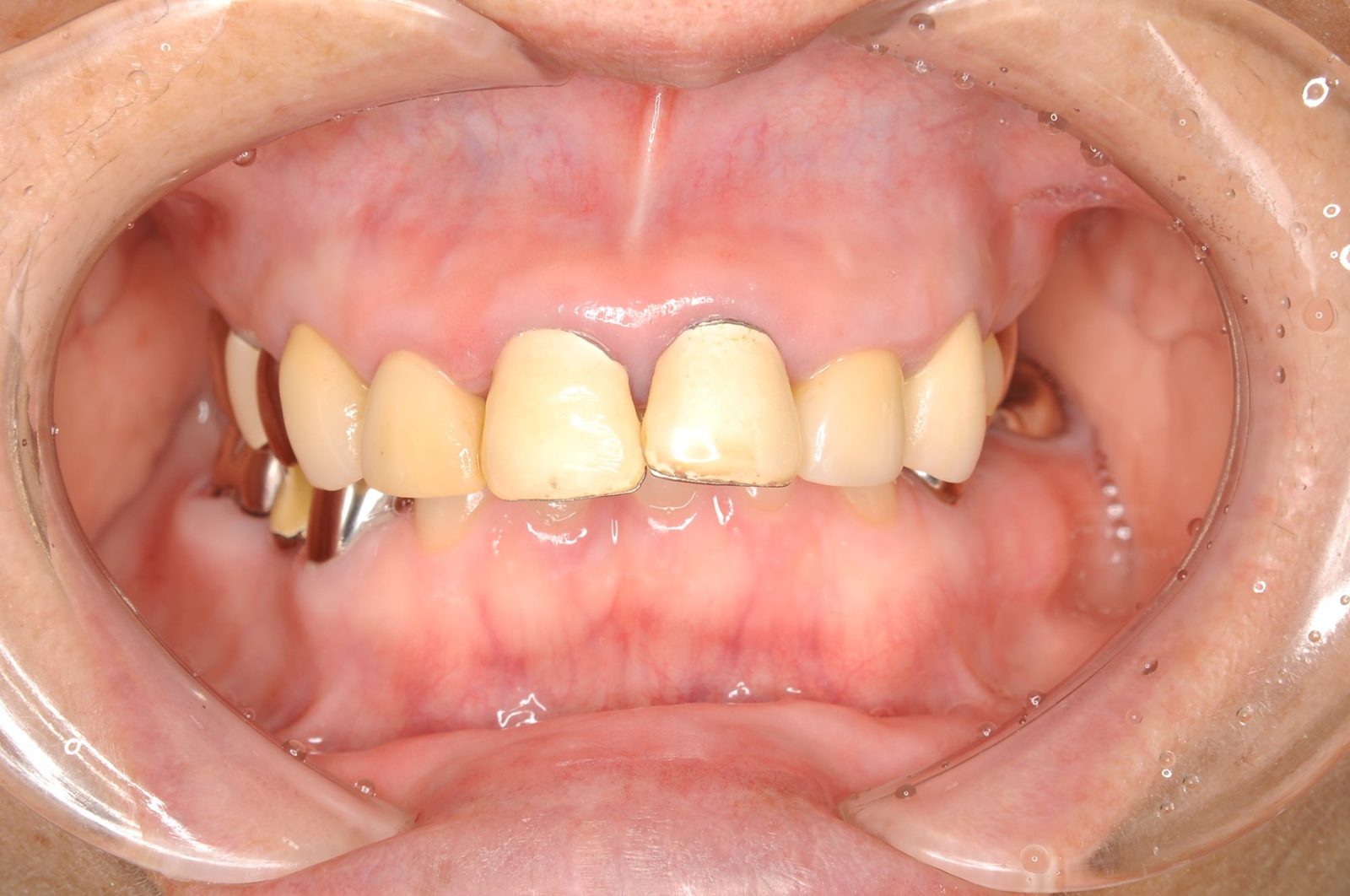
「顎のずれ」が大きい場合は、被せ物を利用し噛み合わせを再構成したり、歯列矯正により噛み合わせを整えることも行います。その方の年齢や、歯、歯肉などの状態に応じた、最適な治療方法をご提案いたします。以下の症例は、被せ物等を利用し噛み合わせを整えたケースになります。
TOP