入れ歯治療
入れ歯治療
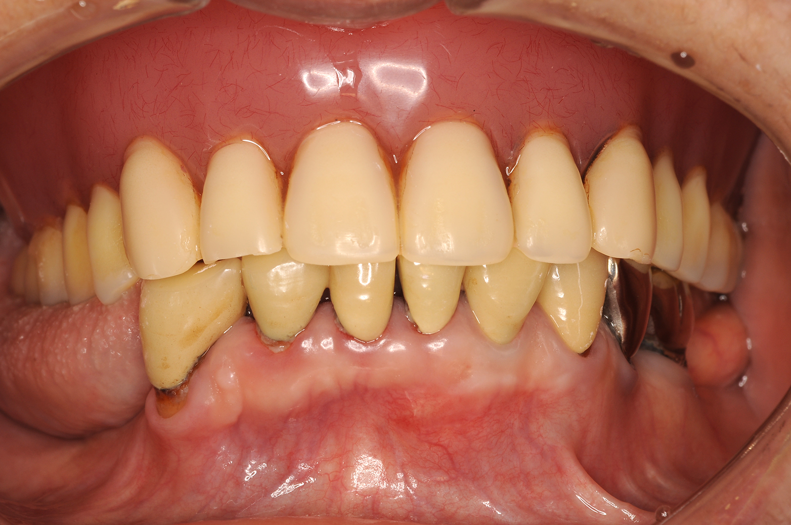
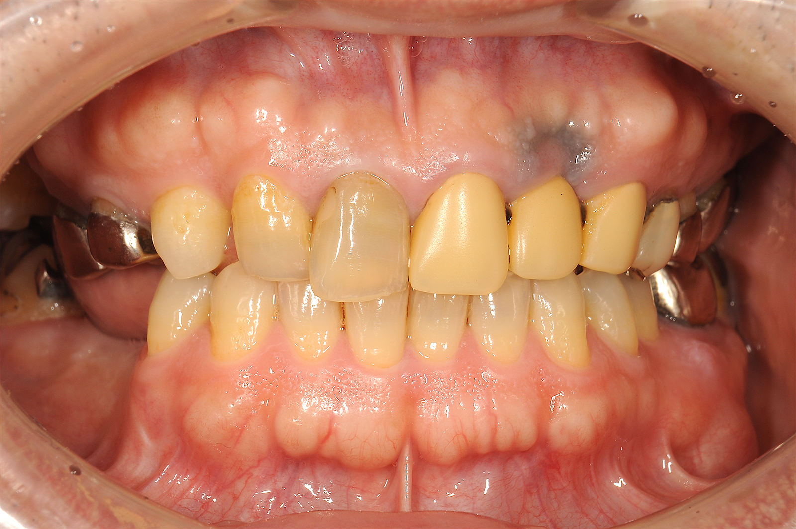
「痛い」「噛めない」「外れてしまう」
入れ歯のお悩み、解決します

当院は、入れ歯作りに自信があります。
お気軽にご相談ください。
元々、入れ歯はさまざまな症例に対応できる優れた治療方法です。しかし、多くの患者様は以下のような問題に直面しているのではないでしょうか。
これらの問題はなぜ起こるのでしょうか。それは、入れ歯の「厚さ」「ズレ」「変形」に原因があります。これについてそれぞれ詳しく説明します。
お口の中は非常に敏感です。例えば、髪の毛が一本入っただけでもすぐに気付くでしょう。髪の毛よりも厚みのある入れ歯を装着すれば、当然、異物感を覚えるでしょうし、話しにくさや飲み込みにくさといった問題が発生しやすくなります。
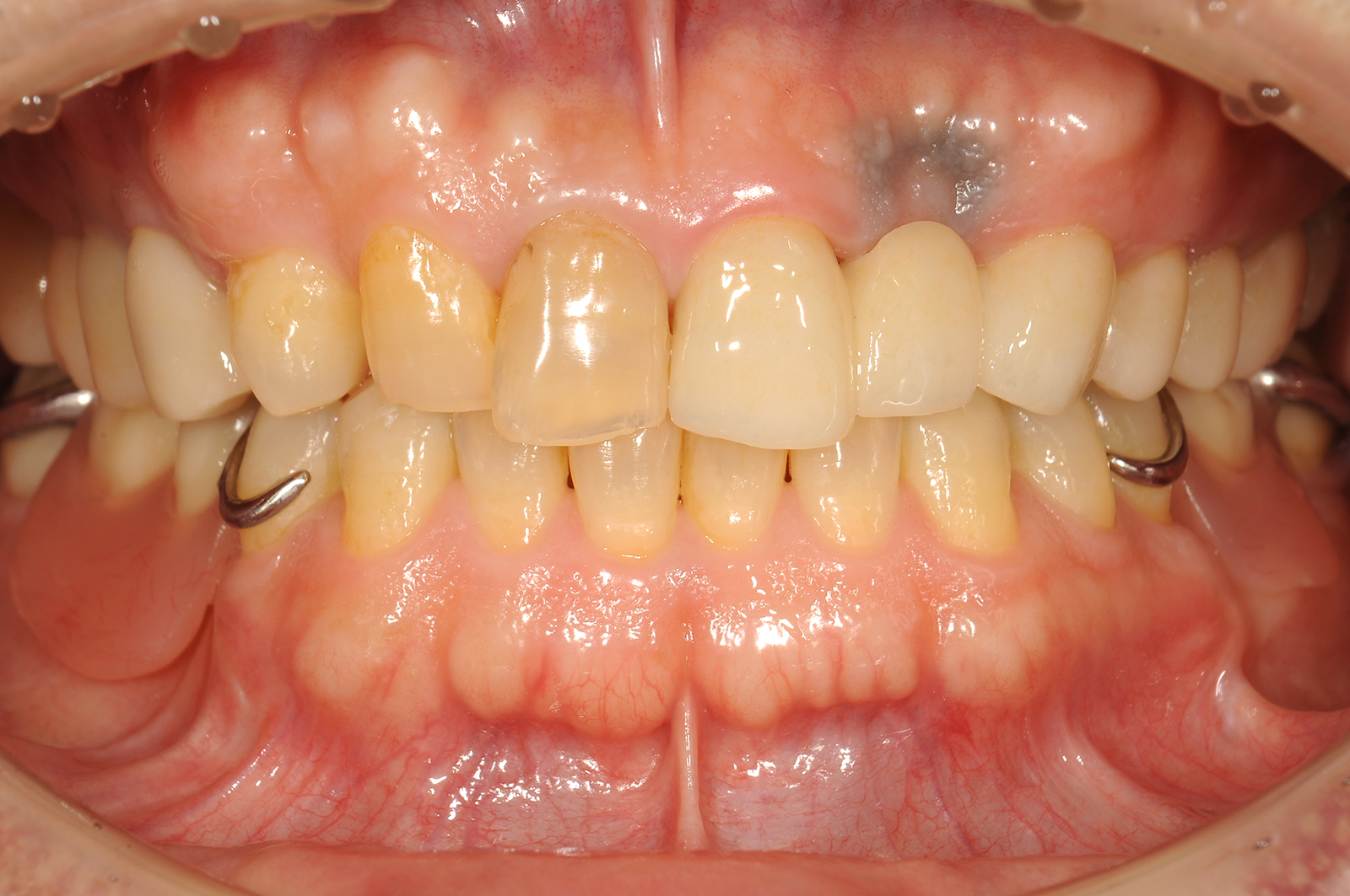
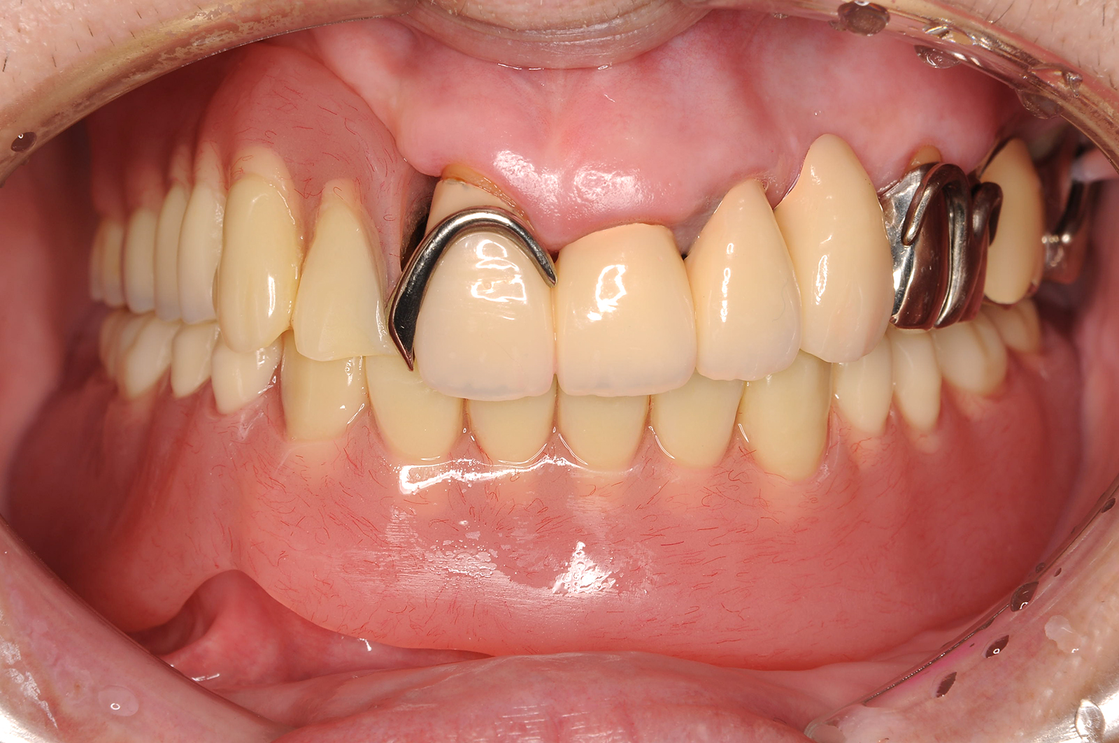
お口の形と入れ歯の形が合っていない場合、入れ歯は外れやすくなり、また隙間に食べ物が挟まりやすくなります。このズレは、入れ歯を作成した直後から生じていることもあります。これはつまり、作成過程やその精度に問題があることを意味します。
保険適用の入れ歯は「レジン(プラスチック)」という素材で作られています。このレジンは、長期間使用すると「歪み」や「たわみ」が生じることがあります。これが原因で、咀嚼時に不快な痛みが発生したり、食べ物が入れ歯と歯茎の間に詰まったり、入れ歯がずれるなどの問題が起こります。
しかし、これらの問題は解決できます。さらに、次のようなメリットも得られます。
食べ物の「味覚」や「温度」を感じることができるようになり、食事をより楽しめるようになります。
噛む機能が低下した入れ歯は、嚥下力(飲み込む力)も低下させるため、食べ物が気管に入ってしまい「誤嚥性肺炎」のリスクを高めます。噛める入れ歯にすることで、このリスクを減少させることができます。
患者様に最適な入れ歯を提供するため、当院が意識していることは次の通りです。
それぞれについて詳しくご説明いたします。
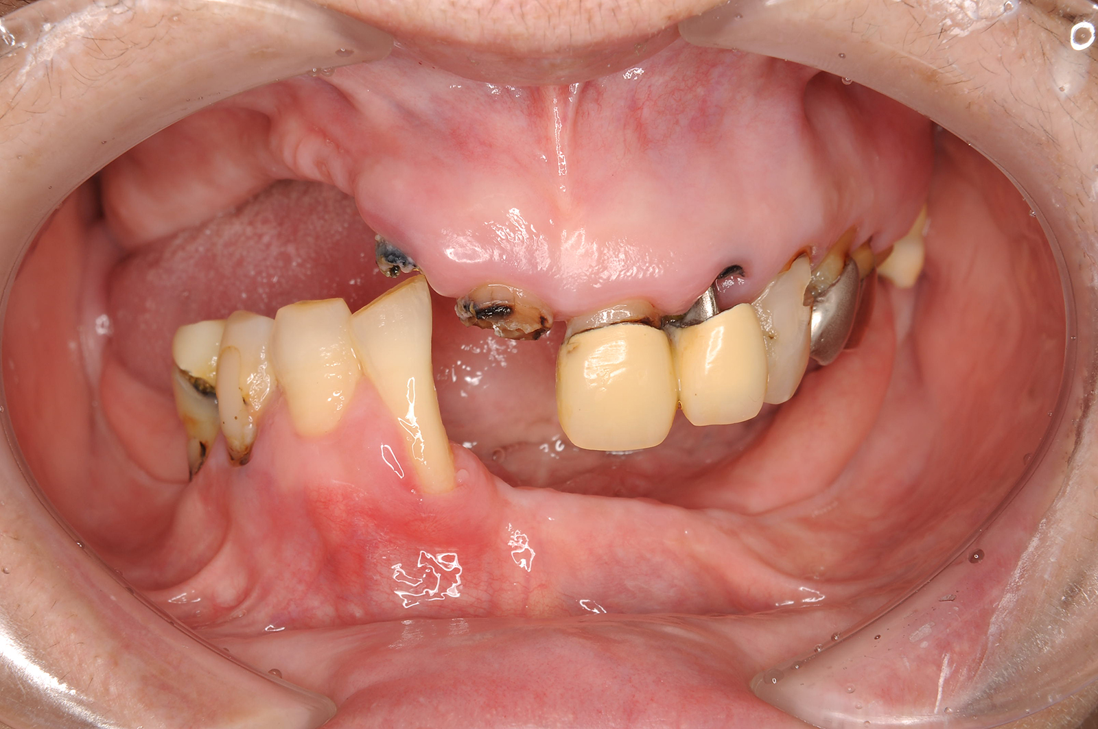
保険診療の入れ歯では、多くの場合、1回の型取りで入れ歯を作製します。しかし、お口の状態は、ものを食べるとき、お話をするとき、何もしていないときなど、それぞれの動作によって変わってきます。
保険診療で作った入れ歯は、これらの動きに対応できず、結果的に「合わない」入れ歯になってしまいます。
当院では「診断用義歯」というものを利用して、入れ歯がお口にフィットするように、何度も調整を行います。
診断用義歯を装着して一定期間過ごしていただきます。その後、来院していただき、摩耗状態やヒアリングをもとに調整を繰り返します。フィット感だけでなく、必要に応じて噛み合わせも調整します。診断用義歯が日常生活で完全にフィットしたら、同じ形状で実際の入れ歯を作製します。このようにして、何度も調整を重ね、お口にぴったり合う入れ歯を作り上げます。
部分入れ歯は、支えとなる歯をダメにしてしまうと言われます。しかし、この認識は間違っています。
当院は、支えとなる歯を整え、入れ歯の形状や角度などをしっかりと「設計」してから部分入れ歯を作製することにこだわっています。これにより、支えとなる歯をダメにすることなく長期的に安定し、しっかり噛める入れ歯が出来上がります。
こうして設計された入れ歯は、一般的な入れ歯に比べて大きくなることがあります。しかし、安定してしっかり噛める入れ歯は、多くの患者様にご満足いただいています。
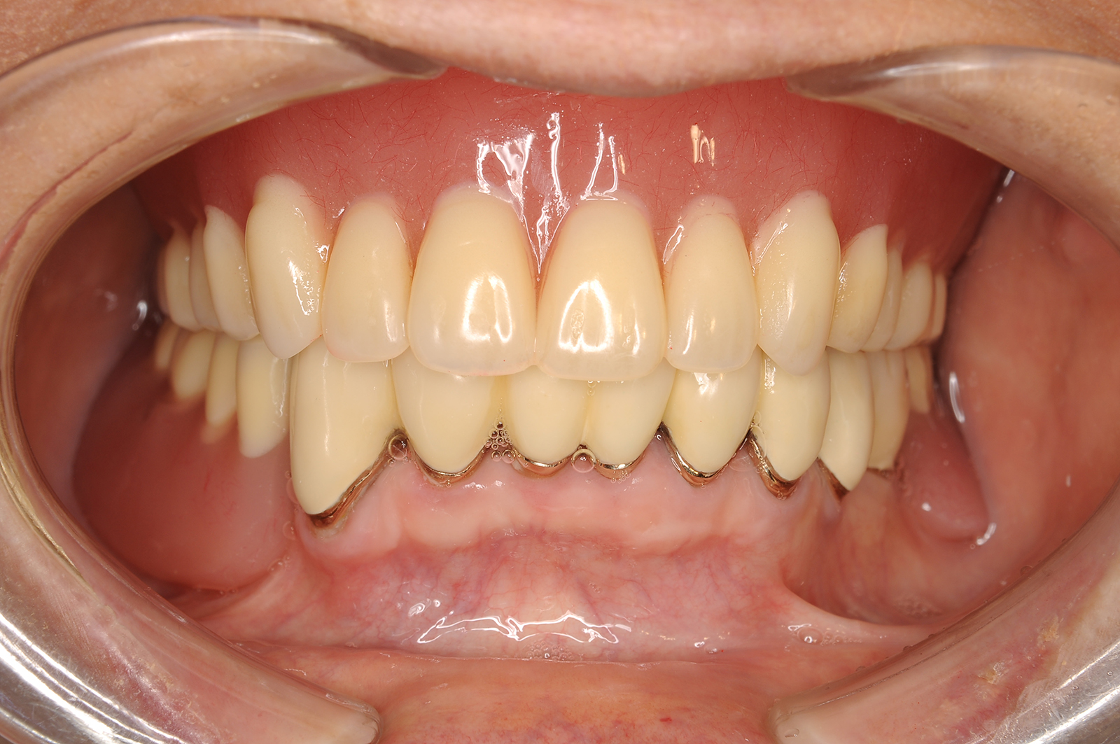
当院は、総入れ歯を作製する際、安定した噛み合わせを第一に考えて設計します。専門的には「フルバランスオクルージョン」という噛み合わせになるようにしています。
フルバランスオクルージョンはすべての歯が均一に接触する状態で、入れ歯が安定して外れにくくなります。この噛み合わせを作るのは、非常に高い技術が求められます。
ノンクラスプデンチャー+金属床
入れ歯を支える金属のバネ(クラスプ)がないので、目立ちにくい入れ歯が「ノンクラスプデンチャー」です。一般的なノンクラスプデンチャーはすべて樹脂(プラスチック)でできているので、劣化してゆがんでしまうことがあります。当院では、土台部分を金属で補強した「金属床」という入れ歯を提供しています。
磁性アタッチメント義歯
残っている歯に金属を取り付け、磁石付きの入れ歯を装着します。磁力で入れ歯を固定するため、外れにくく、目立ちにくいだけでなく、入れ歯自体を小さくすることができるので違和感が軽減されます。
インプラントオーバーデンチャー
お口に埋め込んだ2〜4本のインプラントを固定源として、入れ歯を固定します。入れ歯は取り外し可能なので、お手入れが容易です。通常のインプラント治療に比べて身体的・経済的な負担を軽減しながら、自分の歯のような自然な噛み心地を実感できます。
コーヌスクローネ義歯
コーヌスクローネ義歯は、自分の歯に合わせて作られた筒状のキャップを土台として、その上に入れ歯をはめ込んで固定するタイプの入れ歯です。金属のバネを使用しないため、見た目が自然で気にならず、簡単に取り外せるのでお手入れも容易です。
シリコンデンチャー
柔軟性に優れたシリコン素材を使用した義歯で、お口にフィットしやすく、快適な装着感が特徴です。柔らかいシリコンによって、入れ歯装着時の痛みが緩和されます。耐久性も高く、自然な見た目を実現します。
歴史がある金属床
身体に優しい金属を使った入れ歯(金属床)です。これらの素材の長所は、保険適用の入れ歯と比べて「薄い」「壊れにくい」「飲食物の温かみ・冷たさを感じやすい」特徴があります。金属床は歴史があり常に改良が重ねられている安定の入れ歯です。
TOP