むし歯治療
むし歯治療
歯医者嫌いの方も安心
ほとんど痛くない「むし歯治療」

他にも、次のような治療に取り組んでいます。
むし歯の治療は痛いものだと思っている人は多いです。
実際、過去にむし歯治療で非常に痛い経験をして、歯医者が苦手になってしまったという話もよく耳にします。しかし、治療技術は進歩しています。
現在では、むし歯治療において「ほとんど痛みを感じない」というのが一般的です。
治療の際には麻酔の注射を行いますが、その注射自体が痛いと感じる方は多いと思います。そこで当院では、注射を行う部分に麻酔薬を塗布する「表面麻酔」を実施しています。この方法だと歯茎に麻酔が効いた後に注射をするため、注射そのものの痛みはほとんど感じません。
麻酔液が冷たすぎると、注射された際に痛みや不快感を感じることがあります。理想的な麻酔液の温度は体温程度だとされています。当院では、専用の保温装置を使って麻酔液を温めることで、注射時の痛みや不快感を軽減しています。
麻酔液を急激に注入してしまうと、細胞が膨張して痛みの原因となってしまいます。そこで注入速度を一定化できる「電動麻酔注射」を利用し、痛みを軽減しています。
口内は、痛みを感じにくい部分と、敏感に痛みを感じてしまう部分があります。当院の歯科医師たちは、痛点を見極められるため、麻酔の際は痛みを感じにくい部分をみつけ注射することができます。
むし歯治療と聞くと、多くの人が「キュイ~ン!」というドリルの回転音や、「ガガガッ」という振動音を思い浮かべるでしょう。これらの音は決して心地よいものではなく、苦手な方も多いようです。その不快感をなくすため当院では、回転音や振動音が小さい「5倍速コントラ」というドリルを用意しています。回転音や振動音が苦手な方は、お気軽にお知らせください。
歯医者の治療を最後まで済ませるには、一般的に何度か来院して治療を受けていただきます。
ところが、お仕事や子育てで忙しい方は、何度も歯医者に通う時間を作るのが難しいと思います。そういった方にお勧めしているのが、「短期集中治療」です。
短期集中治療では、1回の治療時間を長めに確保し、通常は何度かに分けて行う治療をまとめて済ませます。
短期集中治療をご希望の方は、ご予約の際にお伝えください。
多くの歯科医院では、歯が痛くなると「神経を取る」治療を行うのが一般的です。しかし、歯の神経(正確には「歯髄」)には、歯に栄養を届ける血管も含まれています。神経を失った歯は栄養を取り入れられなくなり、徐々に弱くなっていきます。
歯の健康を維持するためには、安易に神経を取るべきではありません。もちろん、歯の状態によっては神経を取る治療が最善の選択となる場合もありますが、当院では、できる限り神経を残す治療を行っています。
以下にその取り組みをご紹介します。
むし歯を削った後は、必要に応じて「MTAセメント」という充填材を使用します。MTAセメントは強い殺菌力を持ち、患部を除菌する効果があります。
また、硬化時にわずかに膨張するため、歯と歯の間にすき間ができにくく、細菌の侵入による再発を防ぎます。
むし歯が神経の近くまで達してしまうと、痛みや知覚過敏などの症状が現れます。こうなってしまうと神経を取る診断をされることが多くなりますが、「覆髄法」という治療法で神経を残せる場合があります。
覆髄法は、MTAセメントなどで文字通り「神経を覆う」治療法です。神経近くまで達したむし歯菌をMTAセメントの殺菌力で退治し、再び細菌が入り込まないようにしっかり密閉します。
むし歯が神経に到達すると、多くの場合神経を取ると診断されます。しかし、神経の一部分のみが炎症を起こしている場合、神経をすべて取らずに治療できることがあります。
それが「部分断髄法」という治療法で、炎症を起こした部分だけを切除して、MTAセメントで覆う方法です。
従来のむし歯治療では、むし歯になった部分を大きく削り、被せ物や詰め物を装着するのが一般的でした。
しかし、健康な歯の部分まで削りすぎると、再発した際に再治療で削る場所が減り、最終的には抜歯に至ることがあります。歯の寿命を保つためには、健康な部分を削らないことが重要です。
むし歯になった部分だけを削り、健康な部分は一切削らない。これが理想です。当院では、これを実現するために以下のような取り組みを行っています。
むし歯の部分と健康な歯の部分の境目を正確に見極めるには、肉眼では限界があります。当院では、すべての治療において「マイクロスコープ」や「高倍率ルーペ」を使用し、拡大した視野で施術しています。患部を十数倍に拡大して観察できるため、「むし歯だけを正確に削る」精密な治療が可能になります。
初期のむし歯は目視できないため、熟練のドクターでも判別が難しいとされています。そこで、当院では「見逃しを抑え、正確な判断を行う」ため、レーザーでむし歯を検知する「ダイアグノデント」を導入しています。
ダイアグノデントを利用することで、これまで見逃していた初期むし歯の早期発見が可能になり、削る/削らないの判断も明確になることで、無駄に歯を削らない処置が可能になっています。
むし歯治療の際は、歯に「う蝕検知液」という検査薬を塗布します。う蝕検知液は、むし歯菌に感染した部分にのみ反応します。着色された部分のみ削れば、健康な部分を残して治療ができます。
むし歯の進行具合によっては、抜歯せざるを得ないケースがあります。抜歯してしまうと、その後は「入れ歯」「ブリッジ」「インプラント」などの治療に進むことが一般的ですが、いずれも患者様の負担は小さい治療法とはいえません。また噛み心地や機能性は、ご自身の天然歯に勝るとは言い難くなります。
そこで当院では、可能な限り「歯を抜かない」治療を実践しています。
※すべての症例で抜歯を避けられるものではありません。状態によっては、抜歯が最善の選択となることもあります。
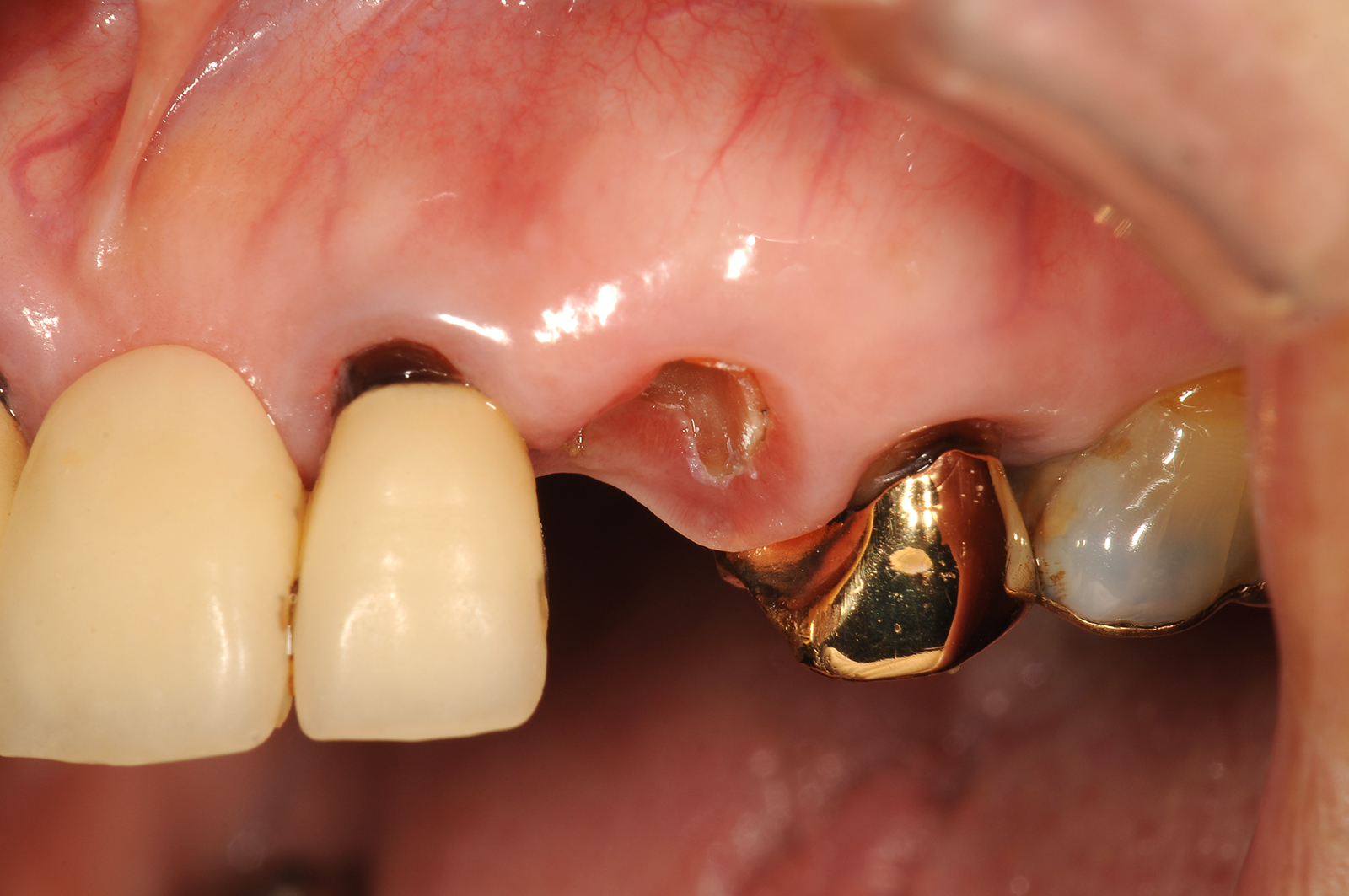
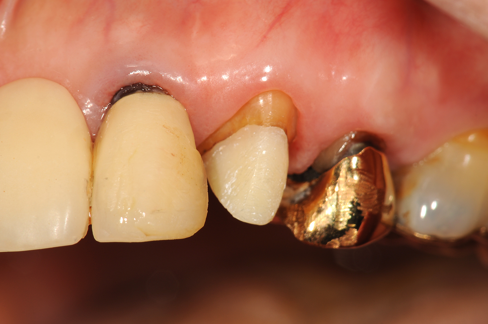
むし歯が進行して歯が崩壊した場合、通常はその歯を「抜歯」することになります。むし歯を削って被せ物を装着しようとしても、装着する部分が残っていないためです。当院では、このような状態でも、「エクストリュージョン」という治療法を用いることで、歯を抜かずに治療できる場合があります。エクストリュージョンは矯正治療の一種で、歯茎の中から歯の根を外側に引き出し、被せ物を装着するための適切な場所を作り出します。
むし歯以外でも、口内の問題が原因で抜歯が必要になることがあります。例えば、歯周病が進行して歯を支える骨が溶けると、歯が揺れ始めることがあります。この段階では、抜歯を選択する歯科医院もあります。また、時間の経過とともに歯が自然に抜ける可能性もあります。しかし、失われた骨を再生することで、抜歯を避けて治療が可能です。当院では、「歯周組織再生療法」という治療方法で、骨の再生に取り組んでいます。
「リグロス」「エムドゲイン」は、いずれも骨の再生を促進する特殊なタンパク質を含んだ薬品です。
患部の歯肉を切開し、失われた骨の部分に直接「リグロス」「エムドゲイン」を塗布します。個人差はありますが、通常数ヶ月から半年で骨が再生することがあります。
※「リグロス」は保険診療で対応可能です。
皆さんの血液には、体の組織の再生を促す「成長因子」という成分が含まれています。患者様から血液を採取し、専用の遠心分離機で処理すると、成長因子が濃縮された「フィブリンゲル」という物質が生成されます。
このフィブリンゲルを骨が損失した部分に注入することで、骨の再生を促進します。フィブリンゲルは患者様自身の血液から作られるため、拒絶反応の心配はほとんどありません。
神経を取った歯に炎症が再発すると、歯の根の周囲に膿が溜まることがあります。症状によっては根管治療で対応可能ですが、炎症が進行している場合は抜歯が必要になることもあります。
しかし、当院では「歯根端切除術」という方法で、抜歯を回避しつつ治療することができる場合があります。歯根端切除術では、歯茎を切開し、歯の根の先端と膿を除去します。
手術後には一時的な空洞ができますが、これは血液で満たされ、時間が経つにつれて骨が再生します。
神経を抜いてしまった、再発や再治療を繰り返した歯は、非常に弱くなります。そのため食事中などに硬い物を噛んだり、歯を食いしばったりするだけで割れてしまうこともあります。
通常、このような場合には抜歯になりますが、当院では「破折歯牙再植」という方法で、抜かずに治療することができることがあります。破折歯牙再植では、割れた歯を一度抜いて、可能な限り接着剤で修復した後、元の位置に戻します。
TOP