歯周病治療
歯周病治療
歯周病のお悩みは当院にご相談ください。
セカンドオピニオンも受け付けています。

令和4年に実施された厚生労働省の調査によると、47.9%の人々に歯周病の兆候が見られたそうです。まさに国民病といえる歯周病の治療に、当院は全力で取り組んでいます。
院長の鈴木泰二は、日本歯周病学会から「認定医」として認められています。日々、歯周病治療の技術向上に努め、海外での研修や講演、書籍の執筆にも積極的に取り組んでいます。
歯周病治療の専門医や認定医の資格を持つドクター、認定資格を持つ歯科衛生士が一丸となり、歯周病治療のプロフェッショナルによるチーム医療を実践しています。
日本歯周病学会「認定医」とは、日本歯周病学会が歯周病治療のプロフェッショナルと認めた歯科医師に与えられる資格です。
日本歯周病学会が認めた研修施設で3年以上研修と臨床経験を積むこと、日本歯周病学会学術大会の認定医・専門医教育講演を2回以上受講することなどの条件を満たした上、筆記試験や総合審査に合格することで、認定医の資格が与えられます。
この資格は、5年ごとの更新が必要です。日々、研修や学会発表などを続けながら歯周病治療に関する研鑽を積むことで維持できる資格となります。
当院のホームページをご覧の皆さんの多くは、次のようなお悩みを抱えていらっしゃるのではないでしょうか。
歯周病は、一度発症すると寛解しても再発しやすい病気といえます。
冒頭でも述べたように、令和4年の調査では、全体の47.9%に初期の歯周病の兆候が見られました。さらに、歯周病は日本人が歯を失う最大の原因となっています。
しかし、ご安心ください。歯周病の原因は科学的に解明されており、治療や予防が可能です。
歯周病は、細菌による感染症でありながら、生活習慣病でもあります。当院では、原因菌に直接アプローチする治療と、生活習慣の改善指導を両軸に、歯周病の治療に取り組んでいます。
歯周病は、細菌による感染症です。しっかり治すには、原因菌に直接アプローチする治療が必要です。ひとことで「原因菌」といってもその種類はさまざまで、細菌によって効果的な治療法や薬剤が異なります。
当院では、多角的な検査で原因菌を特定し、歯周病の原因を元から絶つ治療を行っています。こうしたアプローチを「原因療法」といいます。
歯周病は、外部からは見えない歯茎の中で進行しています。また細菌による感染症のため原因菌にも多くの種類が存在します。患者様1人ひとり、効果的な治療法や薬品が異なるため当院では、精密機器を用いた科学的な検査で原因を特定しています。そして患者様に最適な治療プログラムを作成し、ご提案していきます。
当院の検査や治療法については、以下で詳しくご紹介していきます。
「歯周プローブ」と呼ばれる器具を使用して、歯周ポケットの深さを計測します。歯周ポケットの深さは、歯周病の進行度合いを示す重要な指標です。通常、健康な歯茎の歯周ポケットの深さは1~2mmですが、3mm以上になると、歯周病が疑われます。
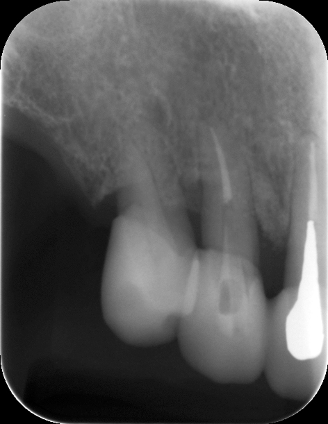
歯周病が進行すると、歯を支える骨が溶けて減少していきます。外から見えない骨の状態を評価するためには、X線検査を行います。当院では、X線検査に「CT」を使用しています。一般的には「レントゲン」と呼ばれるX線検査が知られていますが、二次元の画像を取得するレントゲンに比べて、CTはお口の周囲からの立体的かつ鮮明な映像を撮影することができます。
唾液検査を通じて、むし歯や歯周病のリスクを判定します。これにより、むし歯や歯周病が発症しやすいかどうかや、口内の状態が把握できるため、個々の患者様に最適な治療や、予防プランを立てご提案することが可能です。
口臭の原因のひとつは、歯周病菌がタンパク質を分解する際に放出するガスです。そのため口臭を測定することで、歯周病の進行具合を把握できます。
遺伝子検査によって、歯周病の原因菌を特定します。こちらの検査装置「オルコア」では、歯周病の原因菌の中でももっとも厄介といわれる「P.g.菌」を検出できます。これによって、効果的な治療プラン策定に役立てます。
検査と診断を終え原因菌を特定したらプランに沿って、適切な治療を進めていきます。ここでは、当院の治療プログラムをいくつかご紹介していきます。
歯周病を改善するには、自宅での歯みがきを欠かさないことが重要になりますが、歯と歯の間の汚れや歯周ポケットに溜まった歯石などは、歯みがきだけでは十分に落とすことができません。
このような汚れや歯石は、歯科医院で専門的な器具を使用して取り除く必要があります。歯科医院で行う口内のクリーニングを「PMTC(Professional Machine Tooth Cleaning)」と呼び、お口ケアのプロフェッショナルである歯科衛生士が専門の器具を使用して、歯石や歯垢を効果的に除去します。
当施設では、EMS社が提供する「エアフロー」という機器を用いて、お口のクリーニングを実施しています。
エアフローは、微粒子のパウダーを歯に吹き付けて汚れを除去します。歯垢や初期の歯石だけでなく、バイオフィルム(細菌が集まった膜状の汚れ)も効果的に取り除くことができます。また、歯や歯肉に損傷を与えることなく処置できることも特徴です。
歯科先進国と言われるスウェーデンのイエテボリ大学では、EMS社製のエアフローが有効であると認められ、学内の全エアフロー装置をEMS社の製品に切り替えた実績を持つ医療機器です。
歯科用レーザーの光は、強力な殺菌作用を持っています。歯周病は、細菌による感染症です。歯周病の治療では、原因となる細菌を徹底的に排除することが非常に重要です。当院では患部にレーザーの光を照射して、歯周病の病原菌を殺菌しています。このレーザーの光は、歯肉や歯の表面に対してのみ作用するため、ほとんど痛みを感じません。
歯周病の種類によっては、お薬の服用によって改善されることがあります。唾液検査や遺伝子検査によって歯周病の原因菌を特定した場合、必要に応じて「ジスロマック」などの抗生物質を処方することがあります。
一般的な歯周病の治療では、口腔内を6つのブロックに分け、1つのブロックごとに治療していきます。これを週に1回のペースで治療を進めるとなると、通常は1~2ヶ月かかる計算となります。しかし、歯周病菌は約2週間で再び増殖を始めてしまうため、治療中に歯周病を再発することがまれに起こります。
この再発を防ぐための治療法を「FMD」と呼びます。FMDでは、1~2ヶ月かかる治療を数回の治療だけで、すべての歯を処置する方法です。さらに抗生物質を用いて原因菌を徹底的に除菌していきます。そのため数回の来院で治療が完了するため、治療中に再発する心配がなくなります。
歯周病が重度に進行すると、歯を支える骨が溶けてしまうことがあります。その結果、支えを失った歯は通常の噛み合わせでの負荷を受け止めきれず、異常な方向に動いてしまうことがあります。
ここまでの状態になってしまうと、通常の歯周病治療だけでは対処が難しくなります。そこで当院では、歯周病治療と矯正治療を組み合わせた「歯周矯正治療」を行い、歯と歯茎の状態を改善しています。
歯周病が重度に進行すると、歯を支える骨が溶けて歯がぐらついてきます。この状態のままだと自然と歯が抜けてしまうことから抜歯を選択する歯科医院もあります。しかし、抜歯せずとも骨が再生し歯が安定すれば歯が抜けてしまうことはありません。
当院では、歯を支える骨を再生させる「歯周組織再生療法」という治療法で、抜歯機会を減らす取り組みを行っています。
エムドゲイン/リグロス
歯肉を外科的に切開し、骨が失われた部分に「エムドゲイン」や「リグロス」といった、骨を再生させる特殊なたんぱく質を含む薬剤を塗布します。個人差はありますが、骨の再生にはおよそ数ヶ月から1年程度かかります。
PRGF
患者様自身の血液に含まれる「成長因子」を利用して、骨や歯肉の再生を促進させる治療法です。患者様自身の血液を採取し、遠心分離機などの装置で処理して成長因子を多く含む「PRGF」を作り出します。「PRGF」を患部に注入することで、失われた組織が再生されます。患者様自身の血液から材料を作るため、アレルギー反応がなく、身体になじみやすいという利点があります。
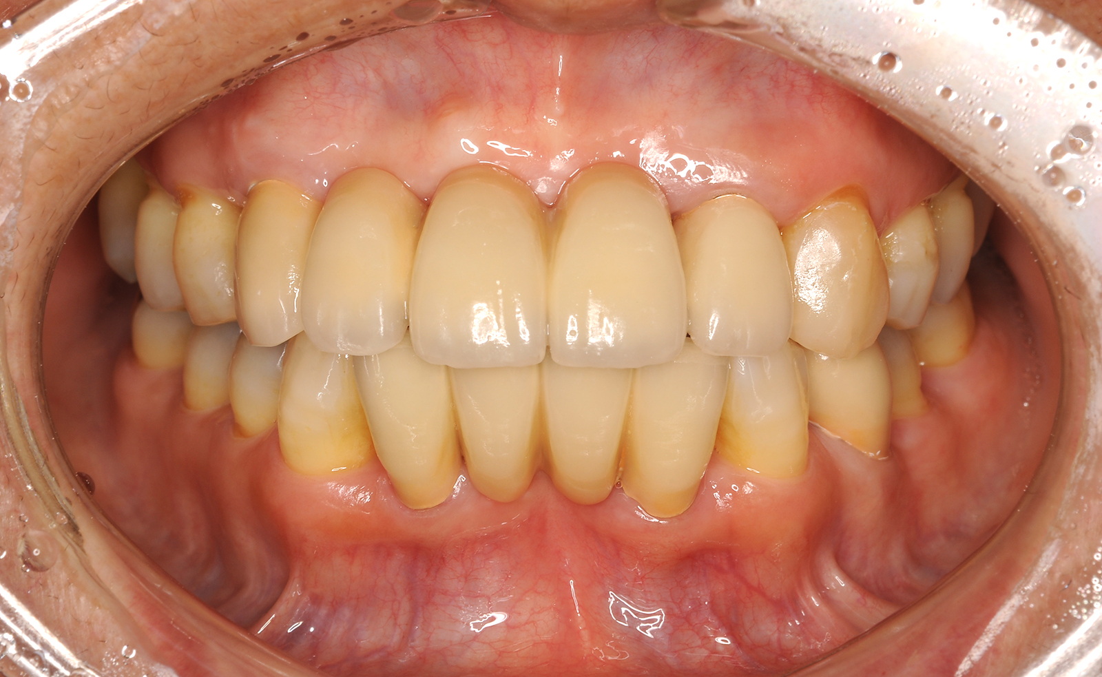
歯周病が進行していくと、歯肉の腫れと退縮が同じタイミングで起こります。治療によって腫れが引きはじめると、歯が長くなった印象を持たれる患者様もいますが、これは歯肉の退縮が原因です。
退縮は見た目の問題だけでなく、本来は歯肉の中にあるべき歯の一部が外に出ているので、知覚過敏などの症状を引き起こすこともあります。当院では退縮で失われてしまった歯肉を外科的に改善する「歯肉移植術」という術式治療を行っています。
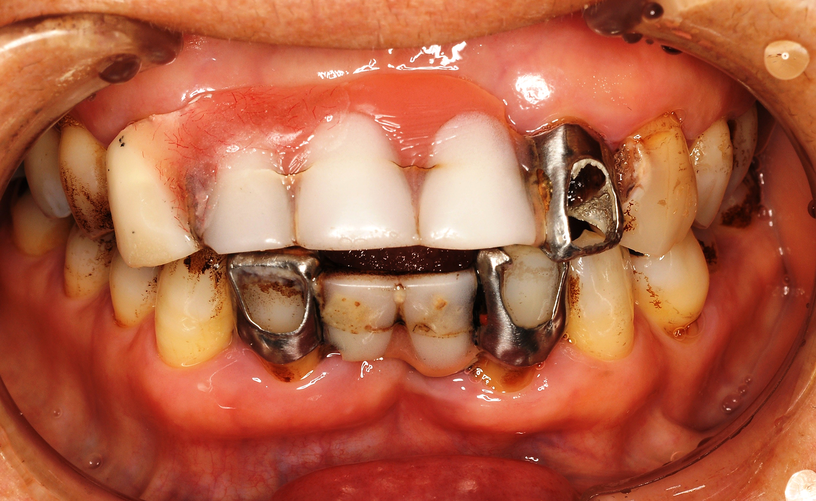
歯周病が進行すると歯周ポケットが深くなってしまい、通常の処置では歯石を取り除くことが難しくなります。この状態のまま放置してしまうと歯周病はさらに悪化し、歯が抜けるのも時間の問題となります。
この状態に対して有用なのが「歯周外科治療」です。歯肉を外科的に切開するなどして、深い部分に付着した歯石を取り除いていきます。
FOP法
「FOP法」は、歯茎を部分的に切開して歯石を取り除き縫合する治療方法です。切開することで、歯周ポケットの奥に溜まった歯石を取り除くことができます。奥底に溜まった歯石や汚れを取り除くことで、歯茎の炎症を回復させるだけでなく、歯周ポケットを徐々に浅くすることもできます。
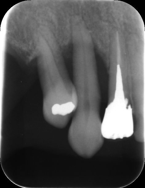
ルートセパレーション
奥歯は根が複数に分かれていますが、歯周病が進行すると根の周囲の骨が溶けてしまい、根の分かれ目が露出してそこに歯垢や歯石が付着します。通常の器具ではこの部分に届かず、溜まった歯石を取り除くことができません。
そこで、「ルートセパレーション」という治療法を用い、歯を2~3に分割して掃除しやすくします。歯石や汚れを取り除いた後、被せ物を装着して見た目や機能性を回復させます。
歯周病の治療には、処置だけでなく患者様の生活習慣の改善指導も含まれています。そのため当院では、患者様1人ひとりに専任の歯科衛生士が付く「衛生士担当制」を採用しています。毎回同じ歯科衛生士が担当することで、個々の患者様に最適な治療やアドバイスを提供することを実現します。
前述の通り、歯周病は予防や治療が可能な疾患です。今日では、かつては抜歯しか手立てがなかったような症例でも、抜かずに治療できる技術が進歩しています。
しかし、歯周病の治療には患者様の積極的なご協力が不可欠です。歯科医院が最善を尽くしても、自宅での日々の歯みがきや定期的なメンテナンスをお怠りにならないことが、この病気を根治するための鍵となります。
歯周病は単なる口腔疾患ではなく、近年の研究によれば心筋梗塞や脳溢血、糖尿病、早産、低体重児出産などの深刻な全身疾患との関連が示されています。したがって、歯周病治療は単に歯を守る治療にとどまらず、全身の健康を保つための治療でもあるのです。
再度言いますが、歯周病は治療や予防が可能な疾患です。
今からでも遅くありません。私たちと共に、歯周病を克服していきましょう。
TOP