インプラント
インプラント

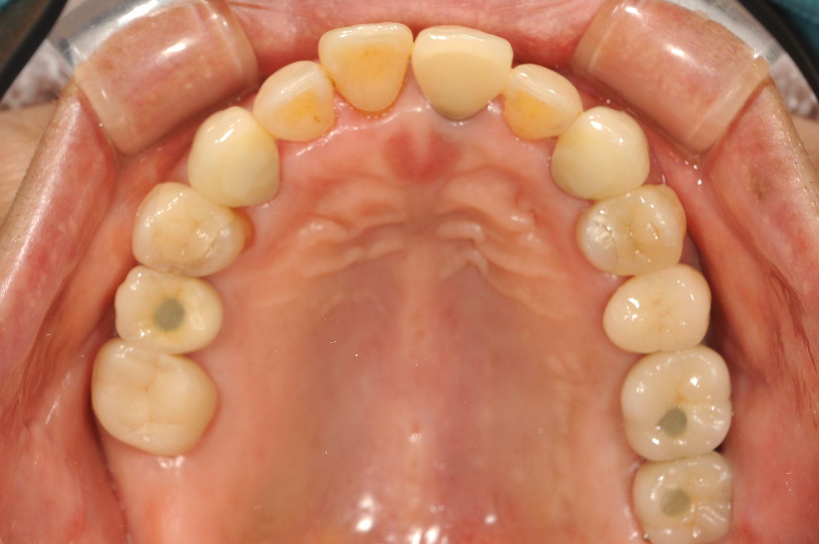
他院では対応できなかった難症例も数多く成功させてきました。
インプラントは、金属製の土台に人工の歯を装着する治療法です。入れ歯やブリッジと同じく失った歯を補う方法のひとつです。
インプラントの大きなメリットは、入れ歯やブリッジとは異なり、ほかの健康な歯に負担をかけないことと、ご自身の歯のような噛み心地が得られることです。
このような大きなメリットがある一方で、インプラントには外科的な手術が必要であり、患者様にとって負担が大きいという側面もあります。
当院では、安心してインプラント治療を受けていただくために、次のような取り組みを行っています。
インプラント治療を受ける患者様の中には、歯周病で歯を失った方が大勢いらっしゃいます。しかし、歯を失うほど歯周病が進行していると、インプラントを支えるための骨がじゅうぶんにないことが珍しくありません。このためインプラント治療には、歯周病治療の知識や経験が必要となるケースが多くあります。実際に、米国ではインプラント治療は歯周病の専門家が担当することが多いのです。
当院院長の鈴木泰二は、日本口腔インプラント学会から「専門医」として認められた、インプラント治療の専門家です。また、日本歯周病学会から認定された、歯周病治療の「認定医」でもあります。インプラントと歯周病、どちらの治療にも精通しており、難しい症例も数多く精巧に導いてきました。安心してご相談ください。
当院では、さまざまな精密機器を導入し、安心かつ安全なインプラント治療を実現し患者様の負担を軽減することに取り組んでいます。
マイクロスコープ
「マイクロスコープ」は、患部を数十倍に拡大して観察できる、歯科治療専用の顕微鏡です。この拡大された視野の中で手術を行うことで、非常に精度の高い、精密な治療が可能です。
CT
インプラントは、歯を支えるあごの骨に埋め込まれます。骨の中には血管や神経が通っており、手術を安全に行うためには事前にこれらの位置を把握する必要があります。
当院では、インプラント手術に際し、「CT」による精密検査を実施しています。CTはX線を用いて体内の構造を撮影する装置で、お口周りを回転しながら撮影することで、立体的で詳細な画像を得ることができます。
ピエゾサージェリー
インプラントの治療には、「骨造成」という治療が必要になるケースがあります。骨造成には、超音波を利用した「ピエゾサージェリー」という機器が活躍します。
ピエゾサージェリーは、超音波振動によって組織を切開する装置で、骨などの硬い組織に作用し、歯茎や血管などの柔らかい組織を傷つけることなく手術を行います。また、切開した箇所に与えるダメージも少なく、回復が速いという利点があります。
当院では、インプラント手術を安全に行うために、ノーベルバイオケア社が開発したナビゲーション手術システム「Xガイド」を導入しています。
このナビゲーション手術システムは、カーナビゲーションシステムが目的地までの道案内をするのと同様に、手術器具の位置や方向をコンピュータが指示します。執刀医はコンピュータの指示に基づいて手術を行い、安全かつ確実な治療が行えます。
「Xガイド」の特長には、以下のようなものがあります。
Xガイドのナビゲーションは、CTで撮影したデータに基づいています。
CTのデータを使用して、あごの骨内の血管や神経の正確な位置を把握し、これらを傷つけることのないようにインプラントを配置する位置をコンピュータが指示します。
Xガイドの精度はわずか0.2mmの誤差であり、高精度で安全な治療が行えます。
正確な位置にインプラントを埋め込むことで、手術の傷口を最小限に抑えることができます。そのため、術後の痛みや腫れが少なくなり、患者様の肉体的な負担も軽減されます。もちろん、術後の回復も早くなります。
インプラントを入れるには、外科的な手術が必要です。手術の際には麻酔をかけるため、治療中の痛みは抑えられますが、「手術」に対して苦手意識のある患者様や、歯医者が苦手な方にとっては大きなストレスとなるでしょう。
当院では、インプラント手術を「睡眠無痛治療(静脈内鎮静法)」で行っています。鎮静剤を点滴で投与することで、患者様はほぼ眠ったような状態になり、この間に手術を行います。患者様には手術中の記憶がほとんど残らず、実際にこの治療を受けた患者様からは、「気がついたら手術が終わっていた」との声が多く聞かれます。
睡眠無痛治療は、専門の麻酔科医が担当するため、安心して治療を受けていただけます。
多くの歯を失ってしまった方がすべての歯をインプラントで治療しようとすると、手術の回数も増えて肉体的な負担が大きくなります。また、治療費も膨れ上がり、経済的な負担も大きくなってしまいます。
こういった患者様にお勧めしている治療法が「オールオン4」です。
オールオン4では、たった4本のインプラントですべての歯を支えます。このため、肉体的・経済的な負担が軽減されます。
※症例によっては、6本のインプラントを入れることもあります。
「インプラントに興味はあるけれど、痛みが心配」
「手術後に腫れるのが不安」
このような声を多くの患者様からいただきます。確かに、インプラントは他の歯科治療とは違い、基本的に手術が必要です。しかし、状況によっては「切らない・縫わない・腫れない」術式が可能です。
この治療法は「フラップレス」と呼ばれ、歯肉に小さな穴を開けてインプラントを埋め込む手法です。切開が不要なため、出血や腫れがほとんどなく、縫合も不要なので、治療後の痛みや腫れを最小限に抑えることができます。
※この術式は、症例によっては適応できないことがあります。ご了承ください。
インプラントは、一度入れると数十年にわたって使い続けるものです。そのため、信頼できるメーカーのインプラントを選ぶことが非常に重要です。当院では、世界中のドクターから支持されているインプラントを採用しています。
ノーベルバイオケア
1965年に世界で初めてインプラント治療を成功させた、最も歴史の長いメーカーです。40年以上同社のインプラントを使い続けた方もいると報告されており、その信頼性は世界トップクラスといえます。現在では、「世界4大インプラントメーカー」のひとつに数えられています。
ストローマン
世界シェア第1位のインプラントメーカーであり、70カ国以上で使用されています。スイスのベルン大学が10年かけて行った臨床研究では、手術の成功率が約97%、残存率が約98%という結果が出ており、多くの歯科医師から高い信頼を得ています。
京セラメディカル
1978年に誕生した、日本初のインプラントメーカーです。長年の臨床実績があり、国内で第1位のシェアを誇ります。骨との結合性が良好で、治療期間の短縮も期待できます。
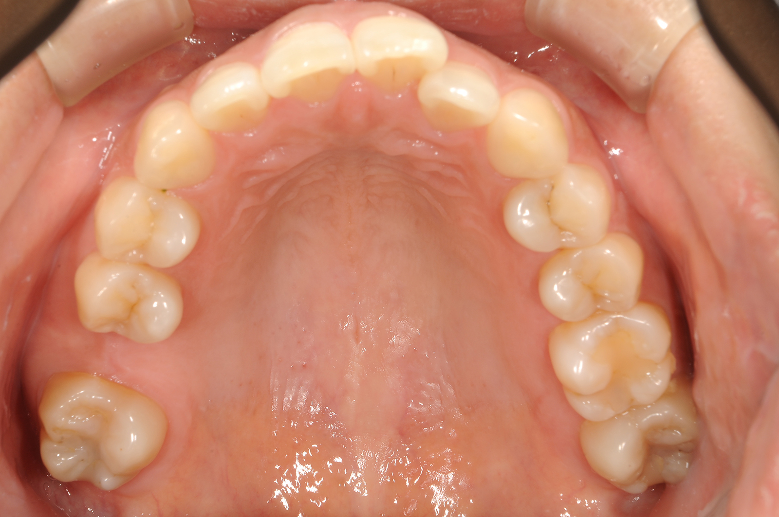
当院には、他の歯科医院でインプラントを入れられなかった患者様も多く来院されています。
インプラントは、あごの骨に土台を埋め込み、人工歯を装着する治療です。一般的には、あごの骨の量が不足しているとインプラントを入れることは難しいです。しかし、当院ではあごの骨の量を増やす「骨造成」という術式を行うことで、このような難しい症例にも対応できる場合があります。
他の医院でインプラント治療を断られた方も、あきらめずに当院にご相談ください。
当院は、歯科治療の保証会社である「ガイドデント」と提携しています。インプラントには、10年の保証を付けております。ガイドデントの保証の特長をご紹介していきましょう。
一般的なインプラントの保証では、予測できない事故によるトラブルは対象外となります。しかし、ガイドデントの保証では、予期せぬ事故でインプラントが損傷したり抜け落ちた場合でも無償で修復・治療を受けることができます。
一般的なインプラントの保証では、治療を受けた歯科医院でのみサポートが行われます。しかし、ガイドデントの保証では、日本全国のガイドデント加盟歯科医院でサポートを受けられます。インプラントは長期間使用するものですから、将来的に遠方に引っ越した場合でも、引っ越し先の加盟歯科医院で継続してサポートを受けられるので安心です。
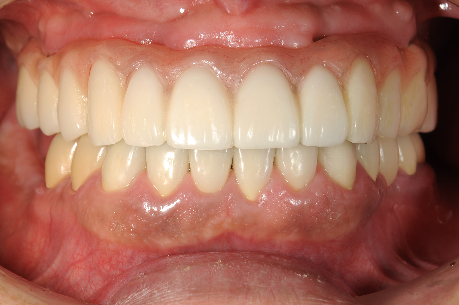
歯を失った場合の治療法について尋ねると、多くの人が真っ先にインプラントを挙げるほど、その知名度は高まりました。しかし、インプラントの最大のメリットは、まだ充分に知られていないように思えます。
インプラントの最大の利点は、部分入れ歯やブリッジと異なり、ほかの健康な歯に一切のダメージを与えないという点です。部分入れ歯やブリッジは、その構造上、ほかの健康な歯の支えが必要になります。これにより、噛むたびに支えとなる歯に負担がかかり、何年か後には支えとなる歯が抜歯されることが多いのです。
インプラントには保険が適用されず、費用も掛かります。また、外科的な手術も必要です。しかしこれらの側面だけでなく、残った健康な歯を守る唯一の治療法であることも考慮に入れて、どの治療法を選ぶか判断していただきたいと思います。
どのような治療法を選ばれても、私たちはベストを尽くします。安心して、お気軽にご相談ください。
TOP